Jaipur
08048056294
+918851698987

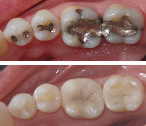
Tooth-Colored Fillings & Restorations

Tooth-Colored Fillings & Restorations

Tooth-Colored Fillings & Restorations

Available
Phone Number

08048056294

Please keep 0 before dialling the number.

Email Address drnidhigoyal@gmail.com

Mon-Thu: 10 AM - 2 PM • Fri: 3 PM - 7AM

Address Shop Number 31C, Opposite Sub Post Office,Brij Mohan Marg, Vishnupuri, Model town, Malviya nagarTown, Malviya Nagar, Jaipur, Rajasthan 302017

Jaipur, India, 302017

Description

Aesthetic Dental Fillings We use advanced composite materials for tooth-colored fillings that blend naturally with your teeth. Ideal for treating cavities and minor tooth damage while maintaining aesthetics.

Treatment By Dr Nidhi Goyal